矯正治療しました!スタッフ鮫島さんの体験記

矯正治療にチャレンジ!
 

当院スタッフの鮫島さんは、昭和54年生まれの3児の母です。

長年口元が気になっていたので、矯正治療にチャレンジすることにしたのは平成22年。
それから約2年半の月日を経て、無事に歯並びを改善しましたので、本人の了承を得てご報告させていただきます。


 

治療の目標

 

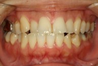
まず、彼女が気にしていたのは大きく次の3点でした。(下の写真は初診時)
 ①前歯の凸凹
 ②上下の正中のずれ
 ③口元の前突感(くちびるが閉じにくい)
これを改善して、自信を持ってスマイル出来ることを治療の目標としました。
  

ちょっと緊張気味の初診時の写真です。

上下の前歯が前突しているので、唇を閉じるとオトガイ(顎の先端)に力が入り、梅干しのようなシワができています。

お口の中は、下顎が右へずれて前歯の正中が合っていません。

 



治療はこんなかんじ


前突した前歯を中へ引っ込めるために、抜歯してマルチブラケット装置を用いました。
上下両側1本ずつ、計4本抜歯しました。

(元々左上は小臼歯が1本ないため、代わりに大臼歯を抜きました。)
 

(マルチブラケット装置で治療中)


鮫島さんによれば、治療中につらかったことは…
1)ワイヤーを調整した後など、前歯で物をかむと痛くて、硬い物は食べられなかった。
2)外食をすると、装置の周りに食べ物が詰まったりして気になり、話をするとき手で口を隠していた。
3)ワンタフトブラシを使って歯みがきしていましたが、1カ月もたたないうちに毛が広がってしまうので、何本も購入した。

一般的に、ワイヤーは調整したあと3日位は違和感やかんだときの痛みが出やすいようです。
多くの方はその間少し柔らかめの物を選んで食べてしのぎ、徐々に慣れるのを待つことで乗り越えているようです。

 



治療前後を比べてみましょう!


【治療前】

 

 


【治療後】

 

 

 


 歯並びが変わると笑顔が変わる!
【治療前】

 


【治療後の口元はすっきり引き締まっています!】
 

 

 

矯正装置をはずしたら口元が軽~くなって、ピースのさめしまさんです。


歯並びをなおした感想を聞くと、
「すっきりしました!

歯並びが悪いときはハミガキが苦手で、プラークが残ることも多かったですが、歯並びがきれいになってからは磨きやすくなりました。

この調子できれいな歯を維持していきたいです!」

とのこと。


これからは、口元に自信を持って、より美しい笑顔がだせるようにと願います。
長い治療をよくがんばりました!


2019年07月01日